専門分野の取り組みとご案内 CLINICAL NAVI

ひ ざ 2021.12.11

【ひざの専門外来】2分で分かる人工膝関節置換術。注意すべき合併症。

2分で分かる人工膝関節置換術。注意すべき合併症。// Complications after Total Knee Arthroplasty in 2 minute.

人工膝関節置換術

【南川整形外科病院 Youtubeチャンネル】

 

■膝に不安を持つ人は1千万人にも…。

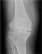
 「長く歩けなくなった」「立ち座りが辛い」。高齢社会の日本では、膝に不安を持つ人は1千万人にものぼるといわれています。今回は、変形性膝関節症の患者さんが対象となる人工膝関節置換術の治療法について説明していきます。

 

■なぜ手術が必要?

 人工膝関節置換術は年間約8万件行われている手術で、手術の対象となるのは、関節の間にある軟骨や半月板がすり減ったり、変形することで痛みや機能障害を招く変形性膝関節症と診断された方々です。もともと骨の形がO脚の人や、若い時のケガが原因になることもありますが、一番は老化、使いすぎです。高齢者に多いのはこのためで、筋力が落ちてきたり、体重が増えることで症状が深刻になってきます。

 

■手術内容について

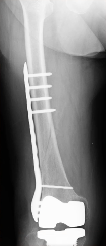
 人工膝関節置換術の内容は、傷ついてしまった膝の軟骨や骨を表面的に切り取り、膝の変形を矯正し、金属やセラミック、ポリエチレンなどでできた人工関節に置き換える手術です。手術は1時間程度で終わります。膝がとても痛くて、変形性膝関節症の方やリウマチの方が手術の適応になります。


 

人工膝関節置換術の後に注意すべき合併症

■手術後に注意すべき合併症について

 人工膝関節置換術の手術は、膝痛が消失し歩行能力が改善するというメリットがある反面、いくつかの合併症が伴うことも事実です。そのため、それぞれの合併症に対する予防策をとることがとても大切です。対策を十分とることによって、手術後のリスクを軽減することが可能です。今回の動画を通して、人工膝関節置換術の後に注意すべき合併症について理解していきましょう。

 

膝の専門医

【膝の専門医】市村竜治 医師

【専門】
膝関節外科・人工関節・外傷

【資格・所属学会】
日本整形外科学会専門医
日本人工関節学会認定医
日本DMAT医師
日本関節病学会
日本関節鏡・膝・スポーツ整形外科学会

【膝の専門外来】 膝関節治療の専門医に聞いてみました。

膝の痛みはガマンせず専門医に相談を。その方その方にあった治療を選択しましょう。

膝の痛みはガマンせず専門医に相談を。

 

ご相談窓口

「患者さんの症状に応じた、適切でより質の高い医療を提供できるように解決の方法を一緒に見つけて参ります。」


 病気になると、健康な時には考えなかったような心配なことや不安なことが色々と出てくることがあります。はじめて経験することも多く、患者さん・ご家族が抱える不安も大きくなります。当院では、医師・看護師・コメディカルが連携を取り合い患者さんの病状を把握しながら、患者さん・ご家族の不安や悩みの解決の糸口が見つかるよう、一人ひとりに最善のサポートを行っていきます。

 

ご不明な点やご質問などございましたら、まずはお電話にてお気軽にご相談ください。

 

【膝の専門医】 市村竜治医師 診察日

 

 

----------------------------------------------------------------------------------------------------------------------------------------------

Website : http://www.minamikawa-hp.com

Facebook : https://www.facebook.com/医療法人-南川整形外科病院-404934386722920/

Youtube Channel : https://www.youtube.com/channel/UCL0wyu5W3mlB8kkANt_u-Aw

----------------------------------------------------------------------------------------------------------------------------------------------

 

前のページに戻る